治療方針
これから治療を受けられる患者さんへ
現在、日本人の平均寿命は80歳に近づいております。しかし、歯の寿命は食生活の変化により短くなっています。現代食は軟らかく加工してある物が多いため歯垢が出来やすく、虫歯や歯周病(歯槽膿漏(しそうのうろう))になりやすくなっています。
また、お口の中は複雑な形態をしており、健康を保つために専門家によるアドバイスが必要になります。
当院では、患者さんをスタッフ全員で管理することにより、5年、10年と長くお付き合いを頂けるクリニックを目指しております。
インフォームド・コンセントを心がけております。最近、『インフォームド・コンセント』(説明と同意)という言葉が話題になっています。 |
||||||
顎模型(歯型)患者さんの現在の、口の中の状態を診断するために、お口の中の模型を作ります。 |
||||||
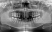
パノラマ撮影法パノラマレントゲンは、上下全ての歯・骨の状態などが、一枚のレントゲンで撮影できます。 |
||||||
口腔内写真治療前・治療中・治療後のお口の中の状態を写真に撮り、デジタル画像にします。 |
エイズ、B・C型肝炎対策当院では、患者さんに安心して治療を受けて頂くため、最新の滅菌設備(オートクレーブ・高速滅菌器など)を用いて、より安全な消毒・滅菌体制を施しております。患者さまひとりひとり個別の滅菌パックにいれて滅菌しております。 |
||||||
診療ユニット
|
||||||
やりかえの少ない歯科医療の効果先にも述べたように、日本は人生80年時代になりました。当院は、やりかえの少ない歯科医療により80歳まで、取り外しの入れ歯を使わずに済む医療を目指しております。 健康な成人は28本の永久歯を持っていますが、10本以上失うと取り外しの入れ歯が必要となる事が多くなります。 また、取り外し式の入れ歯は お口の中を不潔にしやすいため、他の歯を失う原因や口臭の原因となります。 |
||||||
現在の保険治療の問題点ここ数年で、予防医学を中心に、歯科の医療技術はめざましく発達しました。にもかかわらず、保険医療において技術料は低いままに抑えられております。 この為、医療専門職(看護士・歯科衛生士)の人手不足が社会問題となっております。 特に、つめ物・かぶせ物や入れ歯(以下、総称して補綴物(ほてつぶつ))を作る技工士は、保険の補綴物の不採算性の為、転職・技工所の廃業がここ数年で非常に多くなり、人材が極端に不足しております。 このため、現在保険の補綴物は、本当に必要な工程を省き、大量生産する事を余儀なくされております。この様な現状ですので、保険の補綴物においては 患者さんのご満足を頂けないこともあります。 また、私達の目指す“やり替えの少ない歯科医療”のための二次的な疾患(虫歯や歯槽膿漏(のうろう)症)を予防するのに充分な配慮がなされているとは言えません。 私達は、現状の保険の補綴物を患者さんにお勧めするのは 良心的な事とは考えておりません。 私達は、患者さんに満足され、信頼される歯科医療を行う為、補綴物においては 本当に必要な工程を踏み、私達の学んできた技術を充分に活かせる自費の治療をお勧めしております。 |
||||||
訪問歯科
通院が困難な方へ
訪問歯科とは、歯科治療を必要としているものの、「介護を受けている」「体が不自由である」など、、ご本人が歯科医院へ通院することが困難な方のため医療サービスです。



















